kaiyun体育患者不仅奏效脱离了生命危险-Kaiyun· (开云)官方网站 登录入口
发布日期:2025-11-16 07:19 点击次数:150

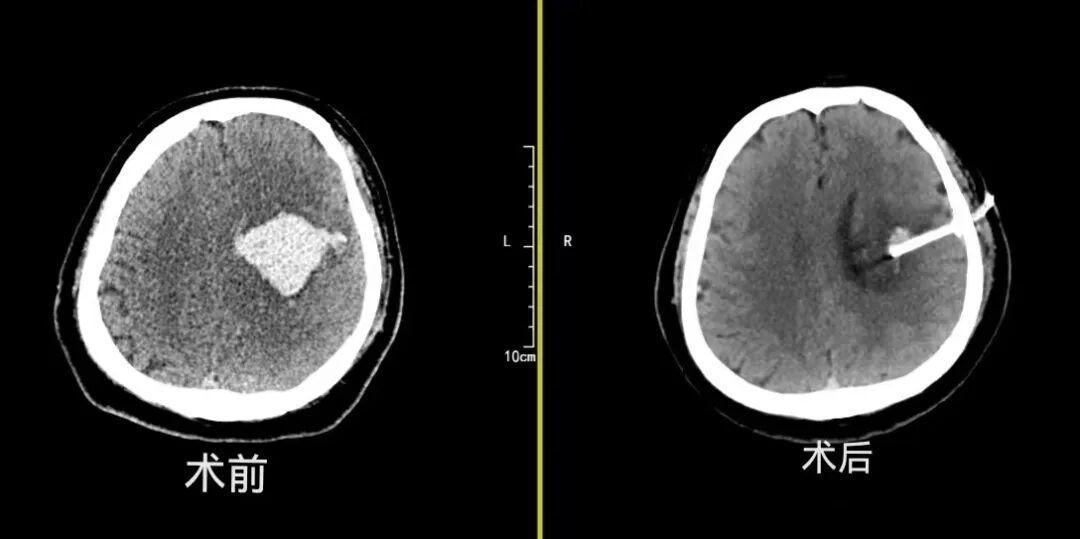
近日,40岁的脑出血患者王先生(假名)因出现相识朦拢被挫折送至病院,情况极度危险。靠近险情,神经外科副主任赵文礼团队断然为其推论CT雷同下可视穿刺抽诱骗流术。术后患者相识情状飞快改善,以两次尿激酶灌输休养,复查戒指显现其颅内血肿已基本拆除。最终,患者不仅奏效脱离了生命危险kaiyun体育,其神经功能也获取显赫规复kaiyun体育,康复远景考究。
脑出血病情不吉,传统开颅手术虽能拆除血肿,但创伤大、规复慢,好多乐龄、体弱患者难以耐受。而单纯的穿刺引流又存在“盲穿”风险,即使通过导航、立体定向等定位次序,由于无法直视下操作,穿刺时不敢抽吸过多,也不可详情残原谅况及是否有再出血情况,难以确保引流着力。CT雷同下可视穿刺抽诱骗流术奏效将脑出血穿刺手术,从传统的“警告脱手”升级至“影像导航、数据脱手”,其中枢上风在于“可视化”与“动态不雅察”,达成了术中“指哪打哪”的精确定位、“随时看清”的全程监测,从而达成对休养全进程的精确把控,显赫裁汰了再出血与穿刺副毁伤的风险,对基底节、丘脑等深部血肿的休养尤为适用。
及时可视,精确“制导”。在CT及时雷同下,穿刺奏效性与安全性显赫提升。动态监测,化被迫为主动。术中通过CT动态不雅察引流着力,一朝发现再出血等并发症可立即处罚,达成对休养全程的主动把控,将风险降至最低。微创高效,药物协同。手术仅通过一个轻微穿刺孔完成,创伤极轻。术后可经引流管注入尿激酶溶化残存血肿,确保拆除更澈底,为神经功能规复奠定坚实基础。举报/响应